壹号娱乐APP

壹号娱乐app官网(中国)官方版下载 壹号娱乐app官网(中国)官方版下载

网站首页

目今位置: 网站首页 > 效果简介 > 正文

天下首例WAS综合征兔模子——用于WAS综合征机理和治疗研究

宣布日期:2024-06-03    编辑:实验工程师         点击:

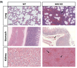
赖良学、邹庆剑团队相助建设了首个Wiskott-Aldrich综合征兔模子(图1)。Wiskott-Aldrich 综合征是一种 X 连锁的隐性遗传的免疫杂乱综合征。WAS疾病模子兔准确地模拟了WAS患者多种典范症状,,,包括血小板严重镌汰,,,出血倾向,,,淋巴细胞镌汰,,,严重的熏染和降低的生涯期。WAS疾病兔模子的乐成建设将使兔替换小鼠,,,成为更优异的WAS机理研究模子,,,为人类WAS疾病临床前研究提供一个主要研究工具。

C6BF3B86465542499065BAB2EBE_E6F7DC72_35A17

22DEFD41C4F99F0FC0F188680BC_8F0012B6_3BC20

图1 Wiskott-Aldrich综合征兔模子

友情链接: 学校官网 图书馆

版权所有?壹号娱乐APP     粤ICP备15096031号

【网站地图】